このようなお悩みをお持ちの方は
是非ご相談ください
-
歯の痛みや血が出る、出血があるといった場合は虫歯や歯周病が考えられます。
-
歯がぬけ落ちたり、グラつく症状は重度の歯周病の可能性も。そうなる前に早めの受診を。
-
歯茎の一部が下がることで飲食時にしみることも。全体的に歯ぐきが下がっている場合は歯周病の原因も。
-
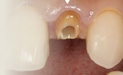
奥歯の詰め物が取れたり欠けたりする場合は、接着があまくなっていたり、虫歯が進行している可能性があります。
-
奥歯の銀色の詰め物や銀色の差し歯・クラウンなど、白くやり変える治療を用賀で行うことができます。
-
歯はその欠けた具合の範囲などで修復できるか抜歯するかの処置が変わってきます。早めの受診を。
-
クリーニング・ホワイトニング・セラミック治療などさまざまな歯を白くする方法を行っております。
-
差し歯やクラウン等で根元が黒ずむ場合とタバコ等で全体的に黒く沈着している場合があります。
-
部分入れ歯から総入れ歯まで、歯がなくてお困りの方の入れ歯の調整・製作、インプラントなどを用賀駅前で行っております。
-
抜歯と診断されたが、歯をなるべく抜きたくない、残したいという方のエクストルージョン治療などを行っています。
-
歯の神経を抜きたくない・残したい方のための直接覆髄法を行っています。
-
根管治療は歯の治療の基礎であり、きちんと処置を行う事で、その後の被せ物を長く持たせることに繋がります。
その他、ここにないお口・歯の症状についてもお気軽にご相談ください。来院以外にもお電話やメールでご相談を受け付けております。実際にお口を拝見しないと分からない場合もあります。ご来院時のカウンセリング予約も行っておりますので些細なことでも結構ですのでお気軽にお越しください。
ごあいさつ
常に最先端をゆく都心にて、数々の治療実績を残してきたと自負しておりますが、患者様のためのさらなる高度な治療を求め、ここ世田谷区用賀に独立を決意し、2012年に開院致しました。患者様一人ひとりのニーズに丁寧に応えられる治療とサービスをご提供する歯科医院を目指し、設備の細部にまでこだわり、スタッフとの連携を大切にし、諸々万全に整えて、あなた様のご来院をお待ちしております。
- 2002年
- 明海大学歯学部卒業
- 2002年
- 渋谷の歯科医院にて勤務
- 2006年
- 青山の歯科医院にて、審美歯科におけるセラミック治療、
インプラント、高難易度歯周外科治療で実績を積む - 2012年
- 用賀デンタルオフィス 開院
初めての方でもお気軽にお問合せ・ご相談下さい
用賀デンタルオフィス
東急田園都市線「用賀駅」北口徒歩1分
〒158-0097 東京都世田谷区用賀4-9-25
▼月土日はAM10~13時 / PM14~17時
最寄り駅:東急田園都市線・用賀駅北口徒歩1分
桜新町や二子玉川からもアクセス良好です
当院は虫歯から歯周病、審美歯科からインプラントまで幅広い治療に対応した2012年夏開業の歯医者です。お子様(子ども)の小児歯科や歯並びの矯正、大人のセラミック治療やご年配の方の入れ歯の製作・調整までオールラウンドに対応いたします。
例えばこのような歯科医院をお探しの方へ…
- 痛いのは嫌だ
- なるべく痛くないように、無痛治療をしてほしい
- 急患に対応してほしい
- 痛みがある、出血する
- 歯がぐらつく、グラグラする、抜けそう
- 歯ぐきが下がってきた・上がってきた
- 歯が抜けた、無い
- 入れ歯やブリッジをしている
- 歯ぐきの境い目が黒ずんでいる
- 歯ぐきの全体が変色している
- 奥歯の銀歯をやりなおしたい
- 白い詰め物にしてほしい
- 歯を白くしたい・ホワイトニングをしたい
- 歯並びをよくしたい
- 短期間で治したい
- 歯を抜きたくない・極力残したい
- キレイなセラミックの歯を入れてほしい
- 他院で難症例と断られた
等々、お口に関するどんなお悩みでもお気軽にご相談いただければと思います。
用賀デンタルオフィスでは治療を開始するかどうか、事前のカウンセリングも行っております。
当院で対応できる診療科目・治療方法
- 虫歯
- 歯周病・歯槽膿漏
- 予防歯科
- 歯科口腔外科
- 小児歯科
- インプラント
- 審美歯科
- ホワイトニング
- 歯石除去
- 歯茎の治療
- セラミック治療
- 奥歯の白い詰め物
- 入れ歯
- 無痛治療
- 部分矯正
- オールセラミッククラウン
- ラミネートベニア
- セラミックインレー
- ブリッジ
お隣の桜新町や二子玉川からも徒歩や自転車でご来院される方も多く、用賀は大変住みやすく居心地の良い街だと思います。東急田園都市線沿線にお住まいの皆さま、世田谷区にお住まい・勤務されている方々にとって、少しでも多くの皆さまに、用賀にこんな歯科医院があるんだと、知っていただければ嬉しく思います。











